インドの男性患者、検査で3つの腎臓を持っていることが判明

インドで非常に珍しい症例が発見され、医師が詳細に報告している。
検査で第3の腎臓が明らかに
その患者とは、インドのマハーラーシュトラ州東部の都市、ワルダ在住の31歳の男性とされている。
彼は先日、右腰痛が5日間続き、排尿時の痛みと39℃以上の発熱を訴え、医療機関を受診したという。
医師はその男性患者が腹部に痛みを抱えていることに気づき、尿検査の結果、尿路感染症に関連する菌が検出され、罹患していることを確認したそうだ。
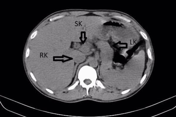
しかもその後、腹部の超音波検査とCTスキャンにより、男性に第3の腎臓が存在することが明らかにされた。
極めて稀な「過剰腎」
通常、腎臓は左右に1つずつあるが、この男性には「過剰腎(supernumerary kidney)」と呼ばれる第3の腎臓が右の腎臓と癒着し、馬蹄形をしていたという。
「過剰腎」とは、胎児期に発生する先天性異常で、腎臓を形成する臍帯における細胞分裂の異常によって生じると考えられている。
「過剰腎」は時に腎臓感染症を引き起こすことがあるが、必ずしも正常な腎機能に影響を与えるとは限らず、しばしば見過ごされるそうだ。
しかし「過剰腎」は極めて稀で、世界中で年間100例未満しか報告されていない。
しかも他の腎臓と融合した「馬蹄形」の形態はさらに稀で、医学文献でも、わずか5例しか報告されていないという。
第3の腎臓は、完全に分離している場合もあれば、薄い組織層で他の腎臓と緩やかに繋がっている場合もあると言われている。
腎臓が膨張、結石が蓄積
今回の男性患者の場合、左右の腎臓が膨張し、結石の蓄積が見られたという。
小さな「結石」は通常、排尿時に正常に排出されるが、腎臓内に放置されると感染症を引き起こす可能性があると言われている。
医師はステントと呼ばれる細いプラスチック製のチューブを左尿管に挿入し、抗生物質を投与。48時間の投薬と水分補給の後、患者の状態は改善したそうだ。(了)
出典元:Livescience:Diagnostic dilemma: A man went to the doctor for a bad UTI and learned he had an extra kidney(3/17)


























